معلومة ونصيحة طبية في تشخيص وجراحة و علاج سرطان البنكرياس :
Information and medical advice for diagnosis, surgery and treatment of pancreatic cancer.
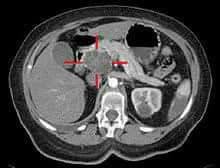
هل تعلم أن معظم حالات سرطان البنكرياس مازالت تكتشف متأخرة وهناك حالات كثيرة تكتشف متأخرة جدا ولذلك لتأخر المريض في الذهاب إلى الأطباء المتخصصين والكشف الطبي نظراً لموقع البنكرياس داخل البطن ونظراً لطبيعة هذا السرطان الخطير وهذا يؤدي إلى نتائج سيئة لهذا السرطان . والأمل يكمن في الإكتشاف المبكر لهذا السرطان الخطير وإجراء عملية إستئصال الورم السرطاني مبكراً والعلاج الكيماوي بعد العملية.
ولذلك فنحن ننصح المرضي بالذهاب إلى الطبيب مبكراً جداً عند بداية حدوث أي أعراض صفراء إنسدادية مثل تغير لون البول إلي الأصفر الداكن وبداية تغير بياض العين إلى اللون الأصفر، وكذلك عند ظهور مرض السكري، أو نقصان الوزن، وقد لا يكون هناك ألم بالبطن في حالات كثيرة، وقد يكون هناك ألم بالبطن أعلي منطقة السرة وخصوصاً عند حدوث تأخر في الذهاب إلى الأطباء المتخصصين للتشخيص والعلاج، وهناك أعراض أخري حسب مرحلة هذا السرطان .
ونحن نرجو من السادة الزملاء الأطباء المهتمين بأمراض البنكرياس والقنوات المرارية و الأطباء المتخصصين في أمراض الجهاز الهضمي و الاطباء المتخصصين في مناظير الجهاز الهضمي والقنوات المرارية وكذلك المتخصصين في الأشعة التشخيصية و الأشعة العلاجية و المتخصصين في العلاج الطبي والإشعاعي للأورام التعاون مع بعضهم ومع الأطباء المتخصصين في جراحات البنكرياس والقنوات المرارية من أجل التشخيص المبكر لسرطان البنكرياس و أورام منطقة الحلمة الكبري للإثني عشر وهذا يساعد على إمكانية إجراء الجراحة مبكراً والعلاج مبكرا للوصول إلى نجاح إستئصال وعلاج هذه الأورام .
هذا هو الحلم والهدف في محاربة هذه الأورام .
لا شىء مستحيل بإذن الله تعالي.
والشافى هو الله . والحمد لله رب العالمين.
ا.د/عبد الغني الشامي
أستاذ الجراحة والأورام والمناظير وجراحات وأورام البنكرياس والقنوات المرارية. جامعة عين شمس
للتواصل: عيادة: القاهرة. المعادي. شارع ٧ عمارة ركن المعادي. بجوار محطة مترو المعادي.
تليفون : 01005217869
Together for Early Detection, Early Surgery and Early Treatment of Pancreatic Cancer and Periampullary tumors. This is the Ultimate Goal in Fighting Cancer. Nothing is impossible.
Tel: 002 01005217869
Clinic: Egypt. Cairo. Maadi Corner Building. Street 7
