أورام البنكرياس الكيسية : من منطلق الصالح العام وخصوصاً لصالح المرضي

أورام البنكرياس الكيسية :
من منطلق الصالح العام وخصوصاً لصالح المرضي نظراً لإهتمامنا البالغ بالتخصص الدقيق والهام لجراحات وأورام ومناظير البنكرياس والقنوات المرارية Pancreatobiliary Surgery فقد بدأ إهتمامنا منذ فترة طويلة بأهمية الإكتشاف المبكر والعلاج المبكر لهذه الأورام وخصوصاً سرطان البنكرياس وذلك للحصول على نجاح عمليات استئصال هذه الأورام .
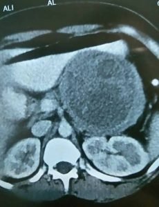
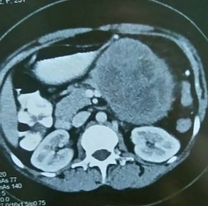
و أيضاً هناك إهتمام منا بنوعية من أورام البنكرياس وهي أورام البنكرياس الكيسية Pancreatic Cystic Neoplasmas وهذه الأورام تكون علي هيئة أكياس في البنكرياس وهناك اهتمام عالمي بها في الآونة الأخيرة نظراً لزيادة معدل إكتشاف هذه الأورام الكيسية وذلك بإستخدام وسائل التشخيص بالأشعة الحديثة مثل الأشعة المقطعية والأشعة بالرنين المغناطيسي والأشعة بالموجات فوق الصوتية بالمنظار مع إمكانية أخذ عينات بواسطة إبرة دقيقة من هذه الأورام لتحليل السائل والخلايا والأنسجة الموجودة في هذه الأورام.
وهذ الأورام الكيسية تختلف كلية عن أكياس البنكرياس الكاذبة الناتجة عن إلتهابات البنكرياس من حيث طبيعة المرض والتشخيص و طرق العلاج ولذلك فإن التشخيص الدقيق هام من أجل إجراء العملية والعلاج المناسب الصحيح لكل حالة علي حده .
وهناك أنواع مختلفة من هذه الأورام الكيسية فعلي سبيل المثال هناك الاورام الكيسية المصلية Serous Cystic Neoplasmas وهناك الأورام الكيسية المخاطية مثل Mucinous Cystic Neoplasmas وكذلك Intraductal Papillary Mucinous Neoplasmas وهناك الأورام الصماء الكيسية Solid Cystic Pseudopapillary Neoplasmas وهناك أورام أخري لايتسع المجال هنا لذكرها.
وعلاج هذه الأورام يحتاج إلى التشخيص الدقيق وإجراء العملية الجراحية المناسبة حسب نوع وحجم ومكان الورم وحسب نوعية الخلايا الموجودة في الورم سواء كانت حميدة أم خبيثة ودرجتها، وكذلك حسب عمر المريض أو المريضة والحالة الصحية.
والعمليات التي تُستخدم في علاج هذه الأورام قد تكون إستئصال رأس البنكرياس والإثني عشر pancreaticoduodenectomy أو الإستئصال الأقصى للبنكرياس Distal Pancreatectomy أو إستئصال الورم أو حسب ما يراه الأطباء بعد التشخيص الدقيق للحالة وهذه العمليات تجري حسب كل حالة وحسب ما يراه الأطباء المتخصصون وتحتاج إلى خبرات و إمكانيات ومهارات جراحية كبيرة في الجراحة التقليدية و جراحات المناظير .
وهناك بعض من هذه الأورام الكيسية التي يتم إكتشافها بالصدفة أثناء إجراء أشعات تشخيصية علي البطن لفحص أعضاء أخري غير البنكرياس وقد تكون هذه الأورام الكيسية صغيرة وتحتاج إلى التشخيص السليم لإجراء العملية المناسبة أو المتابعة فقط إذا كان الكيس الصغير حميد وكانت حالة المريض الصحية لاتسمح بإجراء العملية وحسب ما يحدده الأطباء المتخصصون .
وعموما فإن النتائج في علاج هذه الأورام تعتبر جيدة جداً في الحصول على نجاح إستئصال وعلاج هذه الأورام خصوصاً إذا كانت أورام حميدة حيث يتم الشفاء الكامل بإذن الله تعالى وحتى عموماً في الأورام الكيسية السرطانية فإن النتائج تعتبر أفضل بكثير جداً عند التشخيص في الوقت المناسب مع إجراء العملية والعلاج والرعاية المناسبة إذا ما قورنت بسرطان البنكرياس المعروف .
والشافى هو الله والحمد لله رب العالمين.
ا.د / عبد الغني الشامي
أستاذ الجراحة والمناظير والأورام
أستاذ إستشاري جراحات ومناظير وأورام البنكرياس والقنوات المرارية.
كلية الطب ومستشفيات جامعة عين شمس.
للتواصل تليفون 01005217869
عيادة: القاهرة. المعادي. شارع ٧. عمارة ركن المعادي بجوار محطة مترو المعادي.

اترك تعليقاً

لن يتم نشر عنوان بريدك الإلكتروني. الحقول الإلزامية مشار إليها بـ *

المعادي شارع ٧ بجوار محطة مترو المعادي. عمارة ركن المعادي فوق مستشفى المعادي الخاصة.

اتصل بنا او واتس اب علي

اتصل بنا او واتس اب علي

01005217869

Email Us at

Email Us at

info@dr-elshamy.com

احجز معنا اونلاين

احجز معنا اونلاين

Appointment Now